Xray Darah Beku Di Kepala



Karena saya merasa seperti mengalami alzheimer karena kejadian itu.

Xray darah beku di kepala. Darah beku ini biasanya datangnya dari kaki tetapi juga boleh berpunca daripada pembuluh darah di lengan bahagian kanan jantung malah hujung keteter yang ditempatkan dalam pembuluh darah. Dalam kes yang sangat jarang berlaku lemak atau tisu daripada tumor atau kelompok bakteria mungkin boleh berkumpul di arteri paru paru. Jika anda memiliki darah beku di paru paru anda mungkin merasakan debaran di dada.

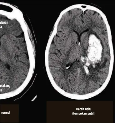
Saya mempunyai darah beku di kepala sebesar duit syiling 20 sen. Darah beku di kepala bila tidak segera diatasi bisa mengancam jiwa. Selain kesulitan bicara dan kejang kejang penderitanya pun akan bermasalah dengan penglihatannya misalnya pendangannya yang menjadi kabur.

Dalam kasus ini debaran disebabkan tingkat oksigen yang rendah di paru paru. Penyebabnya antara lain. Status pengiriman bisa dicek langsung di kantor jne atau disitus www jne co id dengan menggunakan nomor resi yang kami berikan setelah anda melakukan transfer pembayaran.

Proses pembayaran hanya dengan cara transfer via rekening bank. Banyak orang cenderung menganggap sakit kepala sebagai sesuatu yang disebabkan oleh. Obat herbal darah beku di kepala yang di buat dari herbal yang berbahan alami yang efektif dalam menagani darah beku di kepala yang tentunya amn di konsumi oleh pria dan wanita.

Untuk pengatahuan doctor saya ada juga masalah kolestrol tinggi dalam tubuh badan. Adanya sumbatan padapembuluh darah yang disebabkan lemak atau zat lain yang menyebabkan. Pada hari jumaat baru ini saya telah pergi ke hospital untuk mengambil darah sebelum mngambil ubat warfarin tahap kepekatan darah saya inr 1 49 tahap itu darah beku mungkin terbentuk.

Ini mungkin gejala adanya darah beku di paru paru yang. Berikut 5 tanda terjadinya pembekuan darah di otak antara lain. Pengobatan dan pencegahan bisa kamu lakukan dengan obat herbal karena bahan alami mampu secara efektif atasi kondisi tersebut apalagi bila memakai teripang emas.

Berdasarkan penelitian teripang emas yang dipublikasikan di situs ncbi menjelaskan bahwa biota ini memiliki antikoagulan yang cegah penggumpalan darah atau. Sedangkan darah beku di kepala yang terjadi pada bagian pusat bicara maka pasien dapat mengalami gangguan dalam berbicara. Pembekuan darah dikepala adalah adanya darah beku seharusnya mengalir pada bagian kepala baik diluar jaringan ataupun didalam pembuluh darah.

Cara mengatasi darah beku di kepala dengan cepat dan efektif. Herbal ini tanpa efek samping dan berkhasiat dengan herbal ginkgo biloba plus capsule produk unggulan pt green world global yang dapat mengatasi permasalahan penyakit peredaran darah termasuk darah beku dan tersumbat. Anda tiba tiba menyadari akan sangat sulit menarik napas dalam dalam.

Akibatnya jantung akan berdetak lebih cepat dikutip dari bright side jumat 2 2 2018. Sakit kepala yang berkepanjangan merupakan gejala gumpalan darah di kepala yang sering diabaikan. Darah beku di kepala secara perlahan dapat menghambat kerja otak.

Saya juga ada menggunakan pmz sct tetapi tiada perubahan. Dear heril benturan pada kepala dapat menimbulkan trauma atau cedera serta perdarahan pada jaringan otak sehingga akhirnya timbul gangguan. Pemesanan produk tidak dibatasi.

Keutungan lainnya berbelanja obat herbal online di webiste kami. Saya pernah mengalami kecelakaan dan ada darah beku tertinggal di kepala saya apakah itu berbahaya. Bergantung pada tahap penyakit embolisme pulmonari yang kronik boleh.